Dentiste à NANTERRE
Institut dentaire Nanterre 92 - Implants, Esthétique, Soin des gencives
643 Terrasses de l'Arche, 92000 NANTERRE
+33 1 46 14 14 14
Dentiste à NANTERRE
Institut dentaire Nanterre 92 - Implants, Esthétique, Soin des gencives

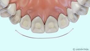
Fil de contention


video-play-icon

Articles similaires

Création par Webdentiste

Connexion